2016年6月24日
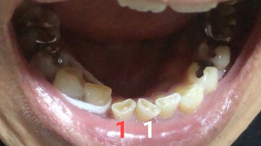
これが、自分の下の歯です。
ぎゅうぎゅうに詰まりすぎて歯がガタガタです。白の1番は45度に傾いています。赤の1番も、かなり傾いています。赤の3番が、八重歯になっていて、ご飯のあと、たまに赤2番と赤3番の間にニラが詰まったりして鬱陶しいのと、八重歯のところだけ、歯茎の下がりがありました。このままでは、ニラオヤジと言われてしまう可能性がある為、便利屋ハウスサービスが、緊急対策本部を設置し、会議(1人)の結果、この邪魔な赤の3番の歯を抜けばいいのじゃないかと…
しかし抜いたら隙間ができる。
隙間ができても、この隙間と歯列矯正は自分で治せるんじゃないか、ということで、歯医者に行き、赤の3番の歯を抜いてもらうことにしました。しかし、最初に行った歯医者の先生の説得で、「犬歯は一番長持ちする歯で、根も深い。その歯を、物が詰まるぐらいで抜いたらいけん」と言うことで断念しました。
しかし、自分の意思は固く、すぐに次の歯医者に相談。「他の歯医者で断られたのですが、物が詰まるのと、唇に当たるので、邪魔だから抜きたい」と言いました。すると、抜いてくれることになりました。
根が深い犬歯だけあって、麻酔をたくさんしても、抜くのは結構痛いです。イメージとしては八重歯を上から横からキリみたいなドリルでグリグリして、たまにひねる感じで、ときどき、メキッと音がします。考えると気持ち悪いです。おそらく数分、そして無事、抜けました。
口元がシワができると聞いたことがありますが、抜く前と全く変わってないみたいです。
やはり、笑うと歯抜けが目立ちます
(歯の隙間が3.8ミリ)。
過去に親知らずを抜いたときは4回とも痛み止めは飲まなかったのですが、今回は夜に痛みが強くなり、痛み止めのロキソニンを飲みました。
周りからの見た目は好評で、「歯が一本ないだけでマヌケみたいじゃね」とヽ(・∀・)ノ。便利屋ハウスサービスは、ますます自己流の歯の矯正へのやる気が増したのであります。
歯を抜いた料金は、3300円でした。
1週間後、抜糸380円。
そして、本日から自分で歯の矯正が始まりました。
これが、ホームセンターに売っていた、ステンレス製のピンです。
(今は、このやり方ではないのですが、一応読んでください。)
1袋300円以下でした。
一番小さなのが良かったです。
これを二つのペンチで折り曲げや、ピンを広げてドライバーを挟み、金づちで叩くなど、加工したら、できあがり。
仕事終わって帰ったら数時間、自家製器具を装着。

今の歯の隙間は、約3.8ミリくらいです。歯がきれいに並べば、隙間がなくなる計算です。
注意
これは、あくまで実験段階ですので、自己責任でお願いします。
これから長い間、頑張っていこうと思います。
2016年6月26日
付けたまま寝ても大丈夫でしたので今後、装着して寝ることにします。
しかし、朝起きたら上の前歯が1ミリくらい山形にかけていたので金具は辞めます。
2017年3月現在 歯の隙間は約2.9ミリですが、なかなか2.9ミリから縮まりません。
なので、

ホームセンターでゴムを買って赤1と赤2の歯の間に挟みました。
すると次の日

赤〇のところが隙間ができました。
今はゴムを外すと1時間くらいで元に戻りますが、繰り返して1本ずつ移動をしたいと思います。
2024年6月コロナ禍が落ち着いたので再開
山形に欠けた歯が、治っています。歯医者さんが言うには歯は日々伸びているらしいです。
通販で買った白い輪ゴムで再開しています。このやり方が一番だと言うことがわかりました。

2024年8月19日
そして、3.8ミリあった2番と4番の歯の隙間が、無くなりました。

しかし、赤1番と白1番の向きがおかしいので、これをどう直すかです。

2024年8月24日
考えた結果、1cmに切ったの割り箸を2本で挟み込み、細いワイヤーで結んで、安全のために長めに切って、ワイヤーのあまりを口の外に出しておく。
しかしこれでは
「えっ?、口から針金が出てますよ(◎-◎;)」
と言われかねないので、考えた結果、つま楊枝の持つところを1センチ×2本で挟み込み、普通の輪ゴムで結ぶ。白の輪ゴムは切れやすい。
こんな感じです。

付けるのが輪ゴムだけと比べて難しいので、昼ご飯はおそらく付けたまま食べます。そして夜は、付けたまま寝る。飲み込んでしまう可能性アリで自己責任(゜o゜)
自宅で誰でもお金をかけずに二重にする方法!
ホクロは自分で取れるのか!
自宅でR1ヨーグルトをヨーグルトメーカーで大量生産!効果、ギリシャ風の作り方
男のヒゲ等の脱毛 比較 ケノンVSトリア
自宅でできる抜け毛対策 最新版
車用ファブリーズの節約法! 1つ約2円
花粉症対策。花粉症、アレルギー性鼻炎が治りました。この治療法はオススメです。あの有名人もこれで治しました。
2週間で激ヤセダイエットのスレンダートーンを9ヶ月やってみた。ウエストを計測中。
その他の記事一覧



